Записаться
Мы внедряем высокие технологии —
чтобы качество
было идеальным.
Мы совершенствуем сервис —
чтобы и взрослые и дети
чувствовали себя
в наших
клиниках как дома.
Мы меняем стоматологию.
Каждый день. Для вас.
Супертехнологии
Лечение под микроскопом
С микроскопом мы работаем точно в пределах пораженных тканей, поэтому достигаем поразительного качества. Это существенно продлевает жизнь зуба. Микроскопы — наша большая любовь, мы вместе более 15 лет, в команде сети более 60 микроскопистов.
Подробнее
Лечение под микроскопом
Лечение детей под наркозом
Иногда просто необходимо решить много проблем за один прием — например, при лечении ребенка. Лечим без боли и качественно. Наш наркоз безопасен даже для малышей.
Подробнее
Лечение детей под наркозом
Челюстно-лицевая хирургия
Комплексное решение при лечении серьезных челюстно-лицевых патологий. Специализированная клиника челюстно-лицевой хирургии: операционные класса А и комфортный стационар.
Подробнее
Челюстно-лицевая хирургия
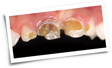
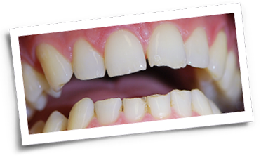
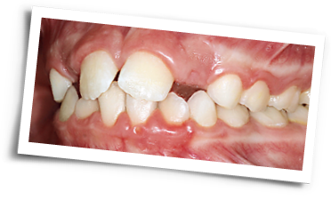
Травма детского зуба
Мы спасли сотни сломанных и выбитых зубов и утверждаем: травма — не приговор. Если лечение провести в кратчайший срок, зуб останется живым.
Подробнее
Травма детского зуба
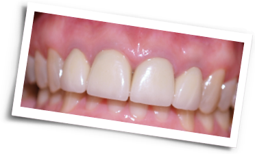
Эстетическая стоматология
Делать красиво — важная часть нашей работы. Мы восстанавливаем утраченные зубы, работаем с цветом, формой, пропорциями. Делаем красивыми не только зубы, но и десны.
Подробнее
Эстетическая стоматология
Имплантация зубов
Наши имплантаты отлично приживаются и долго служат. Мы много делаем для этого: стоматолог-хирург планирует имплантацию совместно с ортопедом, использует цифровые хирургичесские шаблоны, обязательно работает с тканью кости и десны.
Подробнее
Имплантация зубов
Нам можно доверять
Все преимущества
В наших креслах безопасно

У нас мировые стандарты стерилизации инструментов и единые стандарты лечения, сертифицированные материалы и оборудование. Все сотрудники раз в год проходят внутреннюю аттестацию компетенций, а главные врачи ежедневно контролируют работу врачей.

В наших креслах безопасно
Гарантия на лечение

Случается, что пациенты обращаются повторно с тем же зубом. Мы оперативно рассматриваем такие случаи, и если необходимо — перелечиваем.

Гарантия на лечение
Цифровые технологии
Работаем быстрее и точнее. Цифровые сканеры, фрезеры, 3D-принтеры и софт — новая реальность наших кабинетов. Например, цифровой слепок челюсти получаем за 30 секунд вместо 40 минут в классическом «гипсовом» методе.
Цифровые технологии
Командный подход
Работа в команде — стандарт работы стоматолога Дентал-Сервис. В каждой клинике есть узкие специалисты под любую задачу, в сети — Клиника хирургии лица и детские клиники. Если нужна консультация или план комплексного лечения, организуем консилиум.
Командный подход
Беспроцентная рассрочка
Рассрочку на три месяца оформит администратор, первоначальный взнос 30%, для оформления нужен только паспорт.
Беспроцентная рассрочка
Собственная зуботехническая лаборатория
Из кабинета врача цифровой слепок мгновенно попадает в производство. Все ортопедические конструкции производим сами. Зуботехническая лаборатория Дентал-Сервис — полностью цифровая, самая большая за Уралом.
Собственная зуботехническая лаборатория
Стоматологический институт
Собственный учебный центр Дентал-Сервис — медико-стоматологический институт ДЕНТМАСТЕР — обучение стоматологов со всей страны более 15 лет. Ординатура института после окончания государственного ВУЗа — обязательное условие для выпускников, которые хотят стать врачами Дентал-Сервис.
Стоматологический институт
Персональный менеджер
Если лечение проходит в несколько этапов, его организует персональный менеджер — помощник пациента в стоматологической клинике Дентал-Сервис. Он всегда на связи: соберет консилиум, назначит или перенесет визит, расскажет о вариантах оплаты и рассрочки.
Персональный менеджер
Консультируем онлайн
Иногда нужно что-то обсудить с врачом, но нет возможности попасть в клинику: высокая занятость, болеет ребенок, живете в другом городе. Запишитесь на онлайн-консультацию по телефону или оставьте заявку и поговорите с врачом из дома или офиса.
Консультируем онлайн
В наших креслах безопасно

У нас мировые стандарты стерилизации инструментов и единые стандарты лечения, сертифицированные материалы и оборудование. Все сотрудники раз в год проходят внутреннюю аттестацию компетенций, а главные врачи ежедневно контролируют работу врачей.

В наших креслах безопасно
Гарантия на лечение

Случается, что пациенты обращаются повторно с тем же зубом. Мы оперативно рассматриваем такие случаи, и если необходимо — перелечиваем.

Гарантия на лечение
Цифровые технологии
Работаем быстрее и точнее. Цифровые сканеры, фрезеры, 3D-принтеры и софт — новая реальность наших кабинетов. Например, цифровой слепок челюсти получаем за 30 секунд вместо 40 минут в классическом «гипсовом» методе.
Цифровые технологии
Командный подход
Работа в команде — стандарт работы стоматолога Дентал-Сервис. В каждой клинике есть узкие специалисты под любую задачу, в сети — Клиника хирургии лица и детские клиники. Если нужна консультация или план комплексного лечения, организуем консилиум.
Командный подход
Беспроцентная рассрочка
Рассрочку на три месяца оформит администратор, первоначальный взнос 30%, для оформления нужен только паспорт.
Беспроцентная рассрочка
Собственная зуботехническая лаборатория
Из кабинета врача цифровой слепок мгновенно попадает в производство. Все ортопедические конструкции производим сами. Зуботехническая лаборатория Дентал-Сервис — полностью цифровая, самая большая за Уралом.
Собственная зуботехническая лаборатория
Стоматологический институт
Собственный учебный центр Дентал-Сервис — медико-стоматологический институт ДЕНТМАСТЕР — обучение стоматологов со всей страны более 15 лет. Ординатура института после окончания государственного ВУЗа — обязательное условие для выпускников, которые хотят стать врачами Дентал-Сервис.
Стоматологический институт
Персональный менеджер
Если лечение проходит в несколько этапов, его организует персональный менеджер — помощник пациента в стоматологической клинике Дентал-Сервис. Он всегда на связи: соберет консилиум, назначит или перенесет визит, расскажет о вариантах оплаты и рассрочки.
Персональный менеджер
Консультируем онлайн
Иногда нужно что-то обсудить с врачом, но нет возможности попасть в клинику: высокая занятость, болеет ребенок, живете в другом городе. Запишитесь на онлайн-консультацию по телефону или оставьте заявку и поговорите с врачом из дома или офиса.
Консультируем онлайн

Стоматология мирового уровня в Новосибирске

Дентал-Сервис — первая частная стоматологическая клиника Новосибирска — основана в 1993 году в Академгородке. Сегодня сеть Дентал-Сервис объединяет двенадцать клиник и медико-стоматологический институт. В компании работает более восьмисот человек.

Дентал-Сервис — это передовой центр стоматологии под руководством опытных врачей, который предлагает широкий спектр стоматологических услуг, включая лечение кариеса, чистку и отбеливание зубов, имплантацию, ортодонтию, парадонтологию, челюстно- лицевую хирургию и другие процедуры. Стоматологических клиник подобного уровня в России — единицы. Наши стандарты технического оснащения, контроля качества, подготовки врачей и защиты пациентов от инфекций признаются чрезвычайно высокими даже среди опытнейших специалистов.

Дентал-Сервис — первая стоматологическая клиника в Сибири, которая начала лечить зубы с применением операционного микроскопа. Кроме того, мы одна из немногих частных стоматологий Новосибирска, которые активно применяют искуственный интеллект не только в работе гигиенистов и пародонтологов, но и при комплексном долгосрочном лечении наших пациентов.

Люди и технологии Дентал-Сервис — гарант качественного и надежного результата уже более 30 лет! И нам действительно есть чем гордиться.

О компании
Отзывы пациентов
Все отзывы
4,7
2ГИС
4,7
Яндекс
4,3
Google
4,5
Flamp
Наталья Гореликова
18.05.2025
Лучший врач клиники Мамедов Мамед Джалилович! Невероятно внимательный и чуткий специалист! Я в восторге от его работы. Всем рекомендую! Клиника в целом выше всяческих похвал! Как только переступаешь порог, тут же погружаешься в ат...
Сергеева Евгеняи
28.09.2025
Прекрасный врач! Стоматолог, у которого лечение проходит без страха и боли. Максим Александрович Грыдин все понятно объясняет, действует аккуратно и уверенно. Огромное спасибо!
Полина Б
18.09.2025
Очень понравилась клиника. Большое спасибо врачу Пензовой Екатерине Евгеньевне. Врач внимательна, все подробно рассказала о схеме лечения, лечение прошло профессионально и безболезненно!
Валентина Мустаева
24.09.2025
Делала имплантацию у Бойко Артемия Петровича, все прошло великолепно, анестезию поставили, так, что ничего не почувствовала. Сам прием прошел очень быстро, что я ничего не поняла, моргнула одним глазом, а имплант уже стоит, моргну...
Юлия Л
26.09.2025
Проходила проф. гигиену и лечение кариесов во 2 и 3 триместрах беременности. Терапевт - Кидон Е.Ю. Чуткая, профессиональная, внимательная. Все лечение провела на отлично. Рекомендую врача и клинику в целом.
fodi #1
31.08.2025
Был сегодня на чистке у Разенковой Алены Александровны. Остался в полном восторге! Доктор все подробно объяснила, указала на ошибки при чистке зубов, подобрала индивидуальные средства для чистки. В конце подарила новую мануальную ...
Ольга Морозова
21.01.2025
На протяжении многих лет пользуюсь услугами этой клиники. Высокие технологии и профессиональное мастерство специалистов - главные критерии моего выбора. Спасибо главному врачу Софье Андреевне за личную заинтересованность в повышен...
Татьяна Фомина
28.08.2025
Хочу выразить огромную благодарность Поповой Александре Николаевне и Садочкову Алексею Максимовичу! Обратились в клинику с дочерью подростком, после неудачного лечения в другой клинике, где во время лечения обломили передний зуб. ...
Анастасия Сергеева
26.08.2025
Бойко Юлия - самый крутой специалист, обожаю. 7 лет являюсь вашим клиентом. Любовь к денталу началась с этого замечательного гигиениста. Ощущения, после посещения проф гигиены, будто новые зубы:) Благодарю
Юлия Л.
20.08.2025
Хотела бы выразить огромную благодарность врачу-гигиенисту Рыжиковой Елизавете Эдуардовне и ассистенту Виктории.
Сегодня был прием, но мой непоседа категорически отказывался идти на чистку. В клинике был первый раз (имен...
Без имени
12.08.2025
Только положительные эмоции от посещения клиники. Каждый встреченный на своём месте. Администраторы предельно вежливы. Доктора с руками из плеч))))), профессионалы в своём деле. Каждая манипуляция на приёме под...
Хачатурян Анна Мишель Амаяковна
25.08.2025
Недавно ходила на удаление двух зубов к Кириллу Сергеевичу, всё прошло безболезненно и аккуратно, врач очень внимательный, комментировал каждое своё действие и заботливо уточнял, не делает ли больно, всё ли в порядке. Перед операц...
Татьяна Гладченко
29.07.2025
Плюснин Евгений Сергеевич — настоящий профессионал своего дела. Его внимание к деталям и умение найти подход к ребёнку вызывают искреннюю благодарность. Я очень ценю ваш труд и рада, что мой ребенок выходит из кабинета с улыбкой. ...
Юлия Т
08.07.2025
Делали миофренулопластику языка у Смоляниной Юлии Анатольевны 06.07.2025. Приезжали из Барнаула целенаправленно к этому доктору и хотим выразить свою благодарность Юлии Анатольевне за её золотые руки и любовь к своей работе. Опера...
Serafima Sedova
16.07.2025
Если вы ищите клинику, где работают компетентные специалисты, использующие инновационные решения — вам сюда.
Я была на приеме у Минова Дмитрия Олеговича, и я очень рада, что наконец нашла своего специалиста. Убедилась, что в...
Александр Михайлов
17.07.2025
Специалист от бога, Бойко Юлия, вы невероятный специалист своего дела. Просто доктор от бога. При пародонтологической чистке делала очень бережно, не чувствовал боли, хотя с зубами проблемы и после, спустя пару недель все прошло, ...
Ульяна Кузгунова
29.05.2025
Визит в клинику порадовал
Современная клиника, красивые, удобные кабинеты.
Благодарность врачу Анне Эдуардовне. Удаляла зуб мудрости очень качественно и аккуратно. И что для меня было важно, безболезненно и быстро, так...
Без имени
23.06.2025
Елизавета Бобылева просто великолепно справилась со своей задачей. Я думал, что мой разрушенный зуб уже невозможно спасти, но доктор проявила настоящий профессионализм, и теперь зуб выглядит как новый. Я искренне восхищаюсь ее раб...
Ксения Гаврилова
07.06.2025
Пришла в Дентал-Сервис с зубной болью в момент, когда кариозный процесс почти дошёл до зубного канала! Огромное спасибо Кирюшиной Анне Витальевне за спасённый зуб от удаления консультацию и лечение! На всех этапах Анна Витальевна ...
Елена Иванова
03.06.2025
Шувалова Юлия Сергеевна, замечательный доктор гигиенист! Очень подробно рассказала и показала как правильно чистить зубы, тщательно провела процедуру профгигиены, сделала осмотр всей полости с заполнением зубной формулы, обратила ...
Без имени
04.06.2025
Анастасия Александровна очень аккуратная и внимательная. Она обладает добрым отношением и энергетикой, которая мне подходит. Уверена, что она одна из лучших стоматологов в городе.
Полина Майзингер
17.05.2025
Манукян Нина Витальевна - настоящий профессионал! Уже второй год - только к ней! Лечит быстро и безболезненно. Спасибо за мою здоровую улыбку!
Николайзен Оксана Петровна
12.05.2025
Хочу выразить огромную благодарность Николенко Ксении Ивановне, за её профессионализм, чуткость и внимательность. Мы обратились с серьёзной проблемой у ребёнка и она нам помогла сохранить зуб дочери. До Вашей клиники мы были у дру...
Аглая Семенчук
19.04.2025
Масштаб новой клиники впечатляет - площадь, ремонт, дизайн интерьера, уютное и здоровое пространство для детей и взрослых. И Добрыгина Анна Александровна - лучший детский стоматолог! Благодарю! Рекомендую!
Алёна Александровна
23.04.2025
Я хочу выразить свою благодарность ведущему специалисту и главному врачу Эльвире Николаевне. Она очень добрый и профессиональный врач. С нетерпением жду следующего приёма.
Попова Ульяна
27.04.2025
Выражаю огромную благодарность Бадулину Илье Сергеевичу и клинике Дентал-Сервис!! Единственные, кто смогли принять меня в ужасный день, когда у меня всю ночь болел зуб мудрости. Не на следующий день, не через неделю, а день в день...
Без имени
29.04.2025
Боялся лечить глубокий кариес, ставить анестезию;. После консультации и лечения первого зуба страх пропал: лечение было полностью безболезненным, Тимур Наилевич поддерживал, не торопил меня и сам был спокоен и размерен. В итоге ст...
Аксенова Татьяна
28.04.2025
Хочу отметить Дарью Сергеевну Фокину. Очень понравилось лечение, подход, результат! Рекомендую врача! И есть чёткое понимание, что человек находится на своём месте, считаю , что врач от Бога!!! И из всех филиалов, выбираю и рекоме...
Без имени
28.04.2025
Хочу выразить огромную благодарность всему персоналу Дентал-Сервиса, особенно Чибисовой Анне Владимировне! Спасибо вам за профессионализм, за теплый приём, чуткость и особое внимание к пациентам. От вас исходят доброта, понимание,...
Чолач Светлана Ивановна
01.04.2025
Хочу выразить огромную благодарность Бекетову Игорю Николаевичу за высокой профессионализм, неформальное отношение и душевное общение!) думаю, одно то, что мост, поставленный им, простоял 28 лет, говорит само за себя. Так случилос...
Врачи
Все врачи
Истории успеха
Все истории
Записаться на прием
Оставьте свои данные для записи в стоматологию Дентал-Сервис и мы вам перезвоним для уточнения деталей приема
Акции и выгодные предложения
Смотреть все
Бесплатная консультация по имплантации и КТ
Вернем здоровье и красоту вашей улыбки!
Реклама ООО "Дентал-Сервис Бердск" ИНН 544525957, erid: 2Vfnxxy1Vc4
20 августа-31 декабря 2025
Удаление зубов со скидкой до 30% — нежно и легко
На все виды удаления зубов у взрослых.
Реклама ООО "Дентал-Сервис Бердск" ИНН 544525957 erid:2VfnxvsdHCc
15 октября-31 декабря 2025
Бесплатная консультация ортопеда
Оптимальные решения для восстановления зубов.
Реклама ООО "Дентал-Сервис Бердск" ИНН 544525957, erid: 2Vfnxxdk1Zi
1 сентября 2024-31 декабря 2025
Скидка 50% на повторное КТ
На повторное исследование в течении года.
Реклама ООО "Дентал-Сервис Бердск" ИНН 544525957 erid:2VfnxvpfJdv
1 июня-31 декабря 2025
Бесплатные уроки гигиены для детей
Научим правильно чистить зубы на веселом «Уроке гигиены».
Cкидка 5% для многодетных семей
При предъявлении соответствующего удостоверения, подтверждающего данный статус.
Скидка до 15% участникам СВО
На все виды челюстно-лицевой хирургии и коррекцию рубцовых тканей.
15% скидка детям-инвалидам
Детям-инвалидам (до 18 лет) предоставляется скидка 15% на все виды лечения при предоставлении Справки МСЭ.
Накопительные скидки 3%, 5%, 7% и 10%
Предоставляются от суммы лечения 50 000 руб. Скидка действует для всех членов семьи.
Рассрочка на услуги
Предоставляем беспроцентную рассрочку на три месяца во всех клиниках Дентал-Сервис. Первоначальный взнос — 30%, для оформления нужен только паспорт.

Стоматология в Новосибирске — мы рядом

Клиники
Клиника на Блюхера, 30
Клиника на Блюхера, 30
Стоматологическая клиника общего профиля, расположена в Ленинском районе Новосибирска.
8:00 - 21:00 без выходных
14:00 - 15:00 обед
Остановки общественного транспорта
  • Космическая
  • Метро «Студенческая»
Станция метро
  • Метро «Студенческая»
Расписание работы
8:00 - 21:00 без выходных
14:00 - 15:00 обед
Клиника на Революции, 10
Клиника на Революции, 10
Стоматологическая клиника общего профиля, расположена на правом берегу в Центральном районе Новосибирска.
8:00-21:00 без выходных
14:00-15:00 обед
Остановки общественного транспорта
  • Консерватория
  • Центр (ул. Советская)
  • Театр «Красный факел»
  • Площадь Ленина
Станция метро
  • Площадь Ленина
Расписание работы
8:00-21:00 без выходных
14:00-15:00 обед
Клиника на Вокзальной, 50/1 (Бердск)
Клиника на Вокзальной, 50/1 (Бердск)
Стоматологическая клиника общего профиля, расположена рядом с Ж/Д вокзалом Бердска.
8:00-21:00 без выходных
14:00-15:00 обед
Остановки общественного транспорта
  • Ближайшие остановки общественного транспорта: Вокзал
  • Остановка пригородных электропоездов направления Юг: Бердск
Расписание работы
8:00-21:00 без выходных
14:00-15:00 обед
Детская клиника на Ленина, 17
Детская клиника на Ленина, 17
Специализированная детская стоматологическая клиника, расположена на правом берегу в Железнодорожном районе Новосибирска.
8:00-21:00 без выходных
14:00-15:00 обед
Остановки общественного транспорта
  • Консерватория
  • Центр (ул. Советская)
  • Театр «Красный факел»
  • Площадь Ленина
Станция метро
  • Площадь Ленина
Расписание работы
8:00-21:00 без выходных
14:00-15:00 обед
Клиника хирургии лица и стоматологии на Сакко и Ванцетти, 77
Клиника хирургии лица и стоматологии на Сакко и Ванцетти, 77
Клиника хирургии лица и стоматологии, расположена в Октябрьском районе Новосибирска в здании MedPark на 4 этаже.
8:00-21:00 без выходных
14:00-15:00 обед
Остановки общественного транспорта
  • ГПНТБ
  • Метро «Октябрьская»
Станция метро
  • Октябрьская
Расписание работы
8:00-21:00 без выходных
14:00-15:00 обед
Клиника на Гребенщикова, 1 (Родники)
Клиника на Гребенщикова, 1 (Родники)
Стоматологическая клиника общего профиля, расположена в микрорайоне Родники.
8:00-21:00 без выходных
14:00-15:00 обед
Остановки общественного транспорта
  • ТК Лента (ж/м Родники)
  • Михаила Немыткина
Станция метро
  • Заельцовская
Расписание работы
8:00-21:00 без выходных
14:00-15:00 обед
Клиника на Дуси Ковальчук, 252/1
Клиника на Дуси Ковальчук, 252/1
Стоматологическая клиника общего профиля, расположена в Заельцовском районе Новосибирска. Располагается на 2 этаже.
8:00-21:00 без выходных
14:00-15:00 обед
Остановки общественного транспорта
  • Магазин «Уют»
  • Магазин «Чемпион»
Станция метро
  • Заельцовская
Расписание работы
8:00-21:00 без выходных
14:00-15:00 обед
Клиника на Никольском проспекте, 1 (Кольцово)
Клиника на Никольском проспекте, 1 (Кольцово)
Стоматологическая клиника общего профиля, расположена в наукограде Кольцово. Вход через БЦ Кольцово, этаж 2.
8:00-21:00 без выходных
14:00-15:00 обед
Остановки общественного транспорта
  • Вознесенская
  • Торговый Центр
  • Поселковый совет
Станция метро
  • Речной Вокзал
Расписание работы
8:00-21:00 без выходных
14:00-15:00 обед
Клиника на Героев Труда, 4 (Академгородок)
Клиника на Героев Труда, 4 (Академгородок)
Стоматологическая клиника общего профиля, расположена в новосибирском Академгородке
8:00-21:00 без выходных
14:00-15:00 обед
Остановки общественного транспорта
  • Сеятель
  • Проспект Строителей
  • Аптека
  • Остановка пригородных электропоездов: Сеятель
Расписание работы
8:00-21:00 без выходных
14:00-15:00 обед
Профессорская клиника на Николаева, 12/3 (Академгородок)
Профессорская клиника на Николаева, 12/3 (Академгородок)
Стоматологическая клиника общего профиля, расположена в новосибирском Академгородке. Располагается в Медпарке, этаж 2.
8:00-21:00 без выходных
14:00-15:00 обед
Остановки общественного транспорта
  • Технопарк
  • Инженерная
Расписание работы
8:00-21:00 без выходных
14:00-15:00 обед
Клиника на пл. Карла Маркса, 1
Клиника на пл. Карла Маркса, 1
Стоматологическая клиника общего профиля в центре левого берега. Расположена в здании ГУМа, этаж 5.
8:00-21:00 без выходных
14:00-15:00 обед
Остановки общественного транспорта
  • Площадь Маркса
  • ГУМ
  • Ватутина
  • Метро Площадь Маркса
  • Покрышкина
Станция метро
  • Метро «Площадь Маркса»
Расписание работы
8:00-21:00 без выходных
14:00-15:00 обед